Healthier Smiles, Healthier Lives
See What We Can Do For You
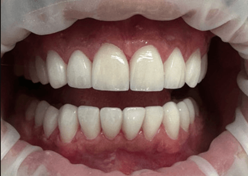
There’s nothing better than seeing a patient walk out of our office with a beautiful, healthy smile. Wondering what we can do for you at Boutique Smiles? Take a look at real stories and before and after pictures from some of our past patients now.
Schedule Today

before

after

before

after

before

after

before

after

before

after

before

after

before

after

before

after

before

after

before

after

before

after

before

after
