SINGLE- AND MULTIPLE-TOOTH REPLACEMENT
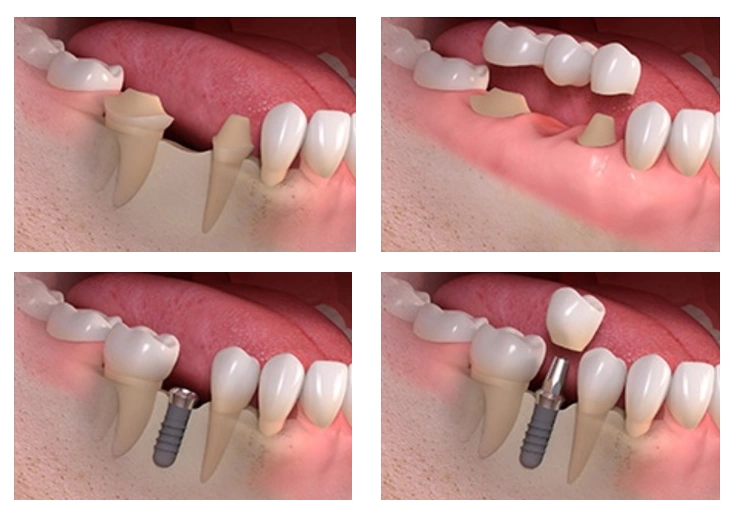
IF YOU LOSE A SINGLE TOOTH, A DENTAL IMPLANT IS AN EXCELLENT SOLUTION. WHY?
The dental implant replaces the missing tooth root, leaving the healthy neighboring teeth intact. The implant also acts as a support for the implant crown by transmitting chewing forces to the jaw to avoid bone resorption.
With conventional methods, the two healthy neighboring teeth must be ground down to support a bridge in place of a missing tooth. This results in a loss of natural tooth surface, and bone deterioration may occur as the bridge does not transmit chewing forces to the jaw.
A dental implant is also a cost-effective option. If you must decide between conventional crown and bridge and a dental implant restoration to replace a single tooth, there is also a monetary aspect to consider. According to a study1 on long-term costs, a single dental implant is regarded as a cost-effective option in comparison to a traditional three-unit fixed dental bridge. The cost difference on the latter is equalized in about seven years.

BRIDGE THE GAP OF SEVERAL MISSING TEETH PERMANENTLY WITH A STRAUMANN DENTAL IMPLANT SOLUTION.
If two or more teeth are missing, shifting of the remaining teeth could result, as well as bone loss in the jaw. From both functional and psychological viewpoints, missing teeth should be replaced as quickly as possible.
The advantage of a dental implant-supported bridge is that healthy neighboring teeth can remain intact. This helps to improve their long-term health and preserve jaw bone. The implants also act as a support for the implant bridge, transmitting chewing forces to the jaw and avoiding bone loss that occurs with missing teeth.

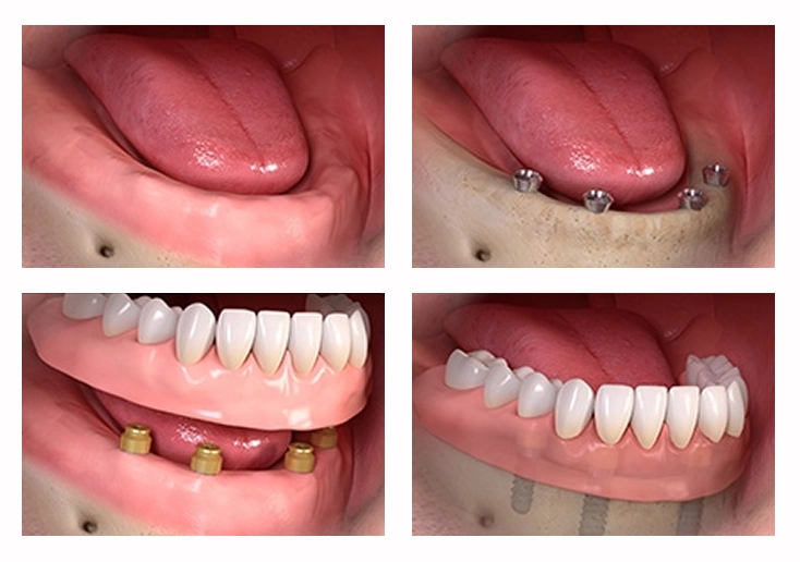
IMPLANT-SUPPORTED DENTURES
Regain good quality of life with a fixed Straumann implant-supported denture solution. Implant-supported dentures can provide a better fit and higher stability than conventional ones.
Even the best conventional denture will always be a foreign body in your mouth that requires extensive care. In contrast, an implant-supported denture will stay securely in place, looks natural, and requires less home care.
The decision to replace your missing teeth with an implant-supported denture from Straumann is an excellent investment in your appearance and long-term oral health. In addition, your ability to speak, eat, and laugh is improved while your physical appearance is enhanced.

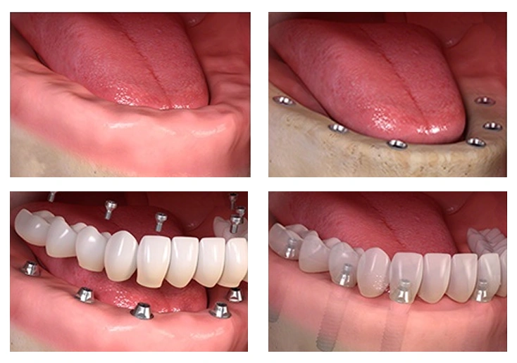
REMOVABLE IMPLANT-SUPPORTED DENTURES
Regain good quality of life with a fixed Straumann implant-supported denture solution. Implant-supported dentures can provide a better fit and higher stability than conventional ones.
Even the best conventional denture will always be a foreign body in your mouth that requires extensive care. In contrast, an implant-supported denture will stay securely in place, looks natural, and requires less home care.
The decision to replace your missing teeth with an implant-supported denture from Straumann is an excellent investment in your appearance and long-term oral health. In addition, your ability to speak, eat, and laugh is improved while your physical appearance is enhanced.

FIXED IMPLANT-SUPPORTED DENTURES
WHY CHOOSE STRAUMANN® DENTAL IMPLANTS?
STRAUMANN DENTAL IMPLANTS – DESIGNED TO LAST A LIFETIME OFTEN COPIED, NEVER MATCHED
Straumann is a leading dental implant company that has earned worldwide trust, and there are many reasons why opting for a Straumann implant is an excellent choice for your oral health.
In the last decade, dental implants have become a standard treatment in dentistry, and there are many types offered by various dental implant companies. But are they offering the same quality, and have these systems been clinically proven in long-term studies?
Most patients are not aware of the critical differences between implant systems. Straumann components are manufactured under consideration of internationally recognized quality standards, with high precision, and documented clinical research.
BACKED BY SCIENCE
Straumann has proven success in the research, development, and manufacturing of dental implant solutions. Documented with extensive scientific literature, Straumann has delivered groundbreaking innovations and set technical benchmarks since 1954. Our scientific and technological achievements had led to numerous innovations in the fields of surface technology, high-performance implant materials, and oral regeneration.
SWISS QUALITY AND INNOVATION
With Swiss engineering roots, Straumann products are well-known for quality and precision. Ground-breaking innovations, such as the SLActive® implant surface, and the high-strength Roxolid® implant material, underline Straumann’s position as one of the most innovative leaders in implant technology.
RELIABILITY AND INTEGRITY
When it comes to the reliability of our implant solutions, Straumann sets high standards of quality and scientific integrity. Straumann products have been thoroughly tested and validated in preclinical and clinical studies. An ethical and trusted company, Straumann takes pride in providing dentists and their patients with products that work and are backed by scientific evidence for reliable and predictable treatment results.
MORE THAN 14 MILLION STRAUMANN IMPLANTS SOLD WORLDWIDE
Through Swiss precision engineering and clinical excellence, the Straumann Dental Implant System has earned worldwide trust. Clinicians in more than 70 countries have purchased more than 14 million Straumann implants. Rest assured that wherever life takes you, care is nearby for your Straumann dental implants.
THE DOS AND DON’TS AFTER SURGERY
Complications are rare after placement of a dental implant, and stitches can usually be removed about seven to ten days afterwards.
Straumann solutions have been thoroughly researched and scientifically tested; however, there may be side effects. It is very important to contact your dentist immediately if you feel any of the following:
- Swelling: cool it down – Cool the external treatment area as soon as possible after the operation to help prevent pain and swelling.
- Pain: take your medications – If your dentist has prescribed medicine, be sure to take it as directed.
- Oral rinses: be careful – In the first few hours after the operation, you should not use an oral rinse as it may cause bleeding.
- Your temporary restoration: take care of it – While the implant is healing in your mouth, it may have a “healing cap” or a temporary tooth replacement. A healing cap is placed on the implant to allow your mouth to heal. Avoid chewing anything hard on the side where the implant was placed. This will help the implant to heal safely in preparation for the next step of your treatment.
WHEN YOU SHOULD CALL YOUR DENTIST
- You feel a throbbing pain after the operation
- You have a numb feeling at the implant placement 12 hours after the operation
- You feel pain or swelling at implant placement several days after the operation
- Bleeding continues
- You lose your temporary replacement tooth crown
- You have symptoms or questions not mentioned here
WHAT TO AVOID
- Sitting is better than lying down. Keep your head up during the day and also at night.
- Do not lie on the side where the implant was placed.
- Do not drive in the first few hours after the operation. Your ability to drive might be impaired by the anesthetic or medications. Ask your dentist.
- Do not use a toothbrush in the implant area of the mouth until the stitches are removed. Your dentist will recommend using an oral rinse several times a day instead of brushing your teeth.
- Do not eat until the anesthetic has worn off.
- In the first few days after the procedure, avoid alcohol, nicotine, coffee, black tea, sports, and physical exertion.
IF YOU LOVE YOUR NEW TEETH, LOOK AFTER THEM!
- Diligent oral care can help your implants last a long time.
- Use a soft toothbrush (changed regularly) or an electric toothbrush.
- Brush teeth on the inner and outer chewing surfaces.
- If prescribed, use interdental brushes for cleaning the spaces between teeth.

ROUTINE ORAL HYGIENE AT HOME AND THE DENTAL OFFICE
Bone generation: Building Bone for your Implant Placement

WHAT DOES IT MEAN TO HAVE LOW BONE VOLUME?
When teeth are lost or have been missing for a long time, the surrounding bone may also deteriorate. If this happens and implants are to be placed, one solution is to rebuild the bone. Straumann bone grafting materials can be placed to help your body develop new bone to support an implant.
There are a variety of methods based on individual needs when it comes to bone augmentation, and your dentist will explain in detail should this affect you.

